El origen del Alzhéimer podría estar relacionado con una enfermedad bucal
Así lo refuerza un nuevo estudio publicado en Science Advances que relaciona ambas enfermedades
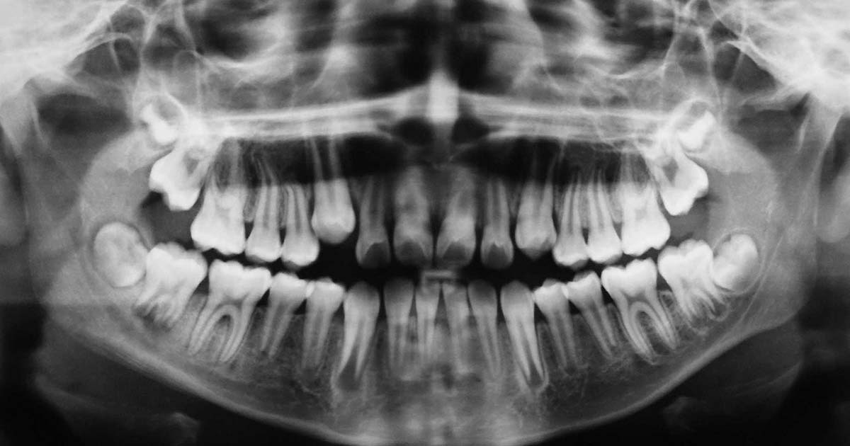
Diversos científicos han apuntado a una sorprendente hipótesis que refuerza la idea de que el origen del Alzheimer no solo es una enfermedad, sino una infección. Así lo defiende un nuevo estudio publicado en Science Advances en el que se vincula la enfermedad degenerativa con una infección bucal, según informa el diario El Confidencial.

El patógeno ‘Porphyromonas gingivalis’, que provoca la periodontitis crónica, ha sido descubierto en el cerebro de personas fallecidas por el Alzheimer, tal y como demuestra una investigación realizada por el microbiólogo de la Universidad de Louisville, Jan Potempa.
Hasta ahora, la periodontitis crónica y el Alzheimer se habían relacionado, aunque existían dudas de si era la periodontitis la que provocaba el Alzheimer o viceversa. En la actualidad, el haber encontrado gingipainas en personas que no fueron diagnosticadas de Alzheimer, da la posibilidad de que podrían haber desarrollado la enfermedad si hubieran vivido más años.
Los autores de la investigación defienden en su estudio que la “identificación de antígenos de gingipaina en los cerebros de personas con enfermedad de Alzheimer y también con patología de esta enfermedad pero sin haber sido diagnosticados de demencia, sostiene que la infección cerebral con Porphyromonas gingivalis no es el resultado de una atención dental deficiente después del inicio de la demencia o una consecuencia de la enfermedad, sino un evento temprano que puede explicar la patología encontrada en personas de mediana edad antes del deterioro cognitivo”.
