miércoles. 01.04.2026

Perforan el cerebro de una mujer al realizarle el test de Coronavirus

Coronavirus: Comienza a perder líquido cefalorraquídeo por la nariz tras hacerse la prueba para detectar si era positivo

Las continuas pruebas PCR para diagnosticar nuevos casos de coronavirus han dado con un particular caso que ha acabado en tragedia para la salud de una mujer de 40 años de edad, residente en Iowa, en Estados Unidos.  Tras hacerse una prueba de diagnosis de Covid-19 se ha descubierto que contaba con un defecto en su cráneo. Tras introducir el hisopo (varilla con algodón) por los orificios de la nariz, comenzó a perder líquido cefalorraquídeo. La muestra no solo obtuvo moco, y el informe de este caso así lo demuestra.

Muchas son las personas que bromean de la longitud de estos hisopos nasofaríngeos que se utilizan para tomar muestras para el análisis de fluidos que detecten con fiabilidad a las personas positivas con coronavirus. Sin embargo, no es ninguna broma. Instantes después de realizarse la prueba de COVID-19, la nariz de la mujer empezó a gotear. Comenzó a dolerle la cabeza y a vomitar sin parar. Su cabeza y su cuello se pusieron rígidos, no podía moverse con naturalidad. Fue al hospital y allí los escáneres revelaron que la paciente tenía un agujero en la base del cráneo.

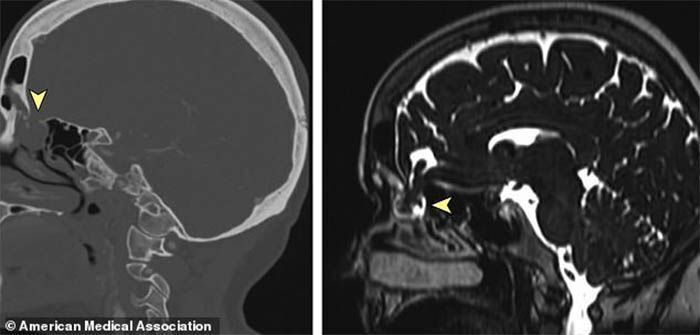
Cerebro Coronavirus Líquido cefalorraquídeo Los escáneres del cerebro de la mujer revelan una abertura sin diagnosticar en la base del cráneo. Después de que el hisopo "penetrara en el cerebro" comenzó a filtrar líquido cefalorraquídeo por la nariz

No pintaba nada bien. El líquido cefalorraquídeo, el cual rodea el cerebro y la médula espinal, goteaba abundantemente por su nariz. Es el primer caso que se conoce de daños producidos por estas desagradables pruebas de coronavirus.

La mujer tenía un defecto en el cráneo

Los médicos de la Universidad de Iowa informaron en el informe del caso este pasado jueves que el hisopo no provocó el daño por sí solo. La mujer tiene un defecto en el cráneo que no había sido diagnosticado. El hisopo presionó una pequeña abertura, la cual se agrandó permitiendo filtrar hacia fuera abundante líquido cerebral.

Nadie hasta este momento había comunicado un problema de daños en la salud como resultado de hacerse la  prueba en sí. La mujer, cuya identidad no ha sido revelada por las autoridades sanitarias americanas, acudió al hospital para ser operada de una hernia. Allí, le realizaron la prueba para conocer si era positivo en Covid-19, con el fin de proteger a profesionales sanitarios, al personal y pacientes de iniciar un nuevo brote de coronavirus.

Náuseas, vómitos, cuello rígido y sabor a metal

A la mujer se le realizó la prueba introduciéndole por la nariz el temido hisopo nasofaríngeo. Los sanitarios lo deslizan hasta los extremos superiores de las fosas nasales, donde conectan con la garganta. Ahí debería el hisopo toparse con capas de músculo, tejido conectivo y posteriormente, el hueso del cráneo. Sin embargo, en este caso no fue así. Después de la prueba, la paciente sufrió de náuseas, la nariz goteaba. Además, su cabeza y su cuello se pusieron extremadamente rígidos, comenzó a notar un sabor metálico en su boca y se volvió super sensible a la luz.

Una vez de vuelta al hospital, los médicos, capitaneados por el doctor Jarrett Walsh, le hicieron tomografías computarizadas de su cráneo, así como también fotografías de su pasaje nasofaríngeo. Así lo publicó dicha eminencia médica en un artículo en la revista especializada JAMA Otolaryngology-Head & Neck Surgery.  Dichas imágenes no dejaban lugar a la duda. Era notablemente visible un agujero en la base de su cráneo, el cual se abría en el mismo espacio donde había sido frotada con el hisopo para la prueba de coronavirus.

Diagnosticada con encefalocele

Escáneres anteriores tomados en 2017 en la misma mujer demostraron que el defecto en el cráneo ya estaba allí. Entonces, la mujer había sido tratada por hipertensión intracraneal o presión del líquido cerebroespinal demasiado alta. Hay que tener en cuenta que la fuga de líquido cerebral pasó después de que el hisopo "causara la abertura" en este verano de 2020.

Gracias a Dios, el equipo de Walsh logró drenar parte del líquido y la operó  logrando reparar el defecto en el cráneo. En caso contrario, la mujer podría haber desarrollado una infección cerebral potencialmente fatal. Ha sido diagnosticada con encefalocele: una condición que ocasiona que el revestimiento del cerebro sobresalga hacia la nariz.

Perforan el cerebro de una mujer al realizarle el test de Coronavirus